Dental Care in San Francisco, California
PROSTHODONTICS, DENTAL VENEERS, DENTAL IMPLANTS, & MORE
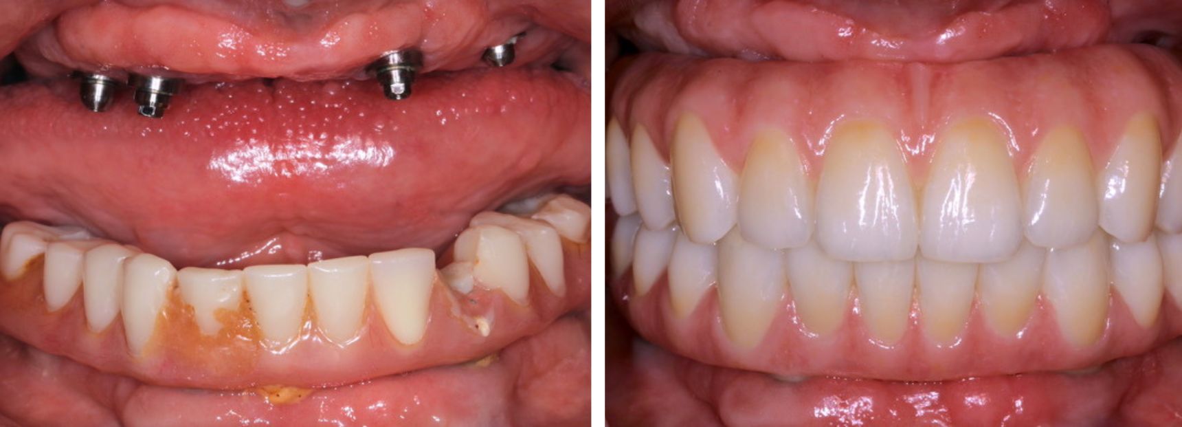
Our dentist and the Montgomery Street Dental team understand that everyone’s smile needs are different, which is why we offer a variety of dental treatments in San Francisco, California. You can learn more about your options in the links below.
If you would like to schedule a visit with Dr. Alireza Khoshvaghti to find the best treatment for you, call our office at (415) 398-6344. We are excited to help you discover the possibilities for your smile!
Meet Dr.
Alireza Khoshvaghti
“Dr. Khosh”
YOUR PROSTHODONTIST IN SAN FRANCISCO, CA
Dr. Alireza Khoshvaghti is proud to continue our practice’s legacy of over 40 years of service. He and our team are committed to caring for each patient who comes through our doors as a person first and foremost. We work hard to make sure our office is comfortable and a place you will want to come back to! You are in good hands with our experienced dentist and team.
Check Out Our Five-Star
Reviews
Get Started Today
$200 OFF New Patient Special*
Full Mouth Exam, X-Ray, & Cleaning
*In absence of gum disease. Regular cost is $680.
Make an Appointment



